
Artikelnr. 076700
NeoLab microscoop binoculair semi-plan
EUR 771,10 EUR 733,00Excl. BTW


Artikelnr. NL210347
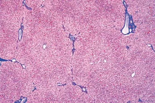
Microfoto van een doorsnede van een menselijke lever. De doorsnede is zo gelegd dat het mogelijk is om de individuele leverkwabben als hoekige 'eilanden' te zien, elk met zijn eigen centrale ader omgeven door de individuele levercellen - de zogenaamde hepatocyten. Het preparaat laat zien hoe de celdichtheid en de afwezigheid van bindweefsel de lever tot een zeer zacht en doorlatend orgaan maakt. De structuur van de leverlobben geeft een goed beeld van hoe de bloedfiltratie vanuit de centrale ader naar buiten toe verloopt.
Toepassing van het product
Het preparaat kan worden gebruikt in lessen biologie en geneeskunde om de anatomie en fysiologie van de lever te illustreren. Het is ook een product dat een idee geeft van hoe de vele celtypen in het lichaam gespecialiseerd zijn voor hun eigen functie en dat dit vaak niet alleen te zien is aan de individuele cellen, maar ook aan hoe de cellen zich organiseren in het weefsel.